前言
本期第一位主讲人为高婷,硕士,助理工程师,毒理应用技术研究室,主要从事含能材料毒理学研究工作。本期文献分享主题为:《吸入尼古丁药理学的最新发现:临床前和临床体内研究》

主要内容
鉴于市场上可获得的吸入尼古丁产品不断发展,本综述重点介绍了吸入尼古丁给药实验的最新发现。分为两个主要部分:药代动力学和药效学。药代动力学部分主要由人体研究组成,药效学部分主要由动物研究组成。
药代动力学重点介绍的研究将侧重于人类和动物模型中尼古丁的吸收。在吸入尼古丁暴露实验中,生物样品中的尼古丁评估用于验证尼古丁给药与安慰剂的对比,研究变量(丙二醇/植物甘油水平,香味成分,烟团形态等)对尼古丁吸收的影响,比较吸入与其他尼古丁给药途径在吸收方面的差异,或比较不同的尼古丁和烟草制品。重药效学重点介绍尼古丁对以下生物系统的影响:心血管、肺、中枢神经系统和其他影响。研究表明,电子烟中尼古丁的药代动力学受PG/VG、香味成分、尼古丁盐、香烟形貌和人体使用的电子烟的威力的影响。吸入尼古丁的药效学影响主要是利用尼古丁气雾剂或电子烟装置中的尼古丁,主要集中在对啮齿动物的心血管、肺和中枢神经系统的影响。这篇叙述性综述是对吸入尼古丁药理学文献的更新,并呼吁采取行动来解决重要的空白。
前言
本期二位主讲人为王琪,硕士,助理工程师,主要从事生物毁伤研究工作。论文分享题目为:《啮齿动物轻度创伤性脑冲击伤模型的建立》

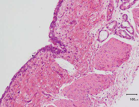
主要内容

实验方法:6-8周龄仔猪注射戊巴比妥钠获取等基因细支气管组织,将组织放在培养基中培养。实验前,使用直径为4毫米的活检穿孔机将全层组织样本取出,放置在装有磷酸盐缓冲盐水(PBS)的塑料孔中的琼脂糖塞上。组织样品受到来自激波管的高压脉冲。对照EVOCs放置在激波管的样品支架中,取出准备进行组织学分析。将实验的EVOCs放置在样品支架中,在隔膜破裂压力为2.19 bar的激波管内产生压力波,然后立即取出准备进行组织学分析。2.19bar=0.219Mpa。实验结果:对照组和压力波作用下的猪细支气管组织的组织图像及其伴随的压力变化。对照样本正常的组织学特征,包括在根尖外表面存在结构完整的上皮细胞。实验组表现出对顶端上皮层损伤的组织学改变,表现为脱屑和细胞碎片的存在。EVOCs已被用于研究药理作用和先天反应的影响。因此,考虑到使用激波管相对容易诱导对EVOCs的可控损伤,有相当大的潜力来识别涉及损伤反应的分子标记,并利用这些信息来改进小(细胞)和大(整个动物)尺度的研究设计。